Se presenta un paciente masculino de 58 años, quien consulta por tos seca persistente de más de 6 meses de evolución, dificultad respiratoria compatible con DCF1.
Antecedentes Personales y Patológicos:
Ex TBQ, 30 P/Y DBT II HTA Ronquidos Somnolencia diurna
No refiere antecedentes de patología respiratoria o alergológica.
Ocupación: Arquitecto sin exposición a tóxicos.
Exámen
Físico: IMC 32. Paciente lúcido. Eupneico .Afebril. Normotenso. auscultación: Ruidos CASI IMPERCEPTIBLES
ESTERTORES CREPITANTES DE TIPO VELCROEN BASES, SIN CLUBBING.
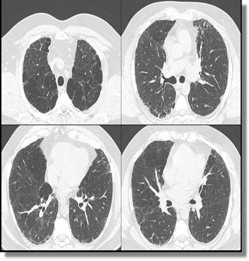
Se indica Tomografía de Tórax y Espirometría


Atento a estos estudios se decide realizar biopsia pulmonar por VATS.(sin complicaciones),pensando en posible intersticiopatía.
ENFISEMA y FPI
Se inicia tratamiento con Nintedanib 150mg.cada 12hs.
Programa de rehabilitación respiratoria
Inteconsulta Equipo de transplante pulmonar
Resoluciones:
El paciente es evaluado para trasplante de pulmón, actualmente en lista ACTIVO
Continúa con nintedanib y oxigenoterapia
Esperamos su opinión sobre screenig, tratamiento y evolución del paciente….
Escribanos…….