RESUMEN La neumonitis por hipersensibilidad (NH) también llamada alveolitis alérgica extrínseca (AAE) es un síndrome respiratorio producido por la inflamación de tipo inmunológico de las paredes alveolares y vías aéreas terminales secundaria a la inhalación repetida y prolongada de una variedad de antígenos orgánicos y menos frecuente inorgánicos por un huésped susceptible. La prevalencia de la NH es difícil de estimar ya que varía de país a país, y aun
dentro de un mismo lugar. Clínicamente, las formas agudas y subagudas son las más frecuentes, pero pueden evolucionar a la cronicidad, con una mortalidad de hasta el 29% a 5 años.
El diagnóstico se establece básicamente con la identificación del alérgeno (exposición y anticuerpos), disnea , crepitantes, patrón restrictivo funcional, imagen tomográfica compatible, casi siempre la presencia de vidrio despulido y nódulos broncocéntricos, linfocitosis en el lavado bronquioloalveolar (LBA) y
con el patrón histológico de inflamación intersticial linfocítica y granulomas mal definidos. Puede decirse que es una enfermedad infradiagnosticada y sólo un alto grado de sospecha clínica y una historia detallada de la exposición pueden llevar a un diagnóstico precoz y un tratamiento satisfactorio(1). Una combinación entre los hallazgos clínico-radiológicos, funcionales, citológicos y anatonomopatológicos, en algunos casos, nos llevarán al diagnóstico (2). El tratamiento se funda en la evitación del agente causal y, en los casos más graves, la administración de tratamiento inmunosupresor y /o antifibrinolítico. El diagnóstic precoz y evitar la exposición del agente causal son la clave para el manejo de esta enfermedad . Los corticoides sistémicos son generalmente usados y el trasplante pulmonar debe ser recomendado en caso de graves progresivos de enfermedad (3). Una proporción de NH tiene progresión y supervivencia de la enfermedad similar a Fibrosis Pulmonar idiopática FPI de ahí la importancia de una detección temprana e intervención para prevenir la progresión de la enfermedad a fibrosis irreversible .El reconocerla a tiempo tendrá implicaciones no sólo terapéuticas sino también pronósticas.
INTRODUCCION
El término neumonitis por hipersensibilidad (NH) o alveolitis alérgica extrínseca (AAE) hace referencia a un grupo heterogéneo de enfermedades pulmonares que se caracterizan por una reacción inmunitaria anormal a antígenos que contienen una amplia variedad de polvos orgánicos y de menor frecuencia inorgánicos. La lista de enfermedades y antígenos involucrados en la génesis de las NH sigue creciendo desde la primera descripción del pulmón de granjero en 1932, siendo unas de las más frecuentes el propio pulmón del granjero, el pulmón del cuidador de aves, la espartosis y la suberosis. En el caso concreto de la suberosis, se han descrito como agentes etiológicos de la enfermedad las proteínas propias del corcho y hongos tales como Aspergillus fumigatus y Penicillium frequentans(4)
Se debe considerar un síndrome, ya que representa a un grupo heterogéneo de enfermedades con múltiples formas clínicas (aguda, subaguda y crónica) que
pueden evolucionar a daño pulmonar irreversible, dependiendo del tiempo y cantidad de exposición al agente causal, así como la respuesta del huésped(3).
EPIDEMIOLOGIA Y ETIOLOGIA
Los datos epidemiológicos sobre la incidencia de NH van desde 0,3 hasta 0,9 por 100.000 hab. Una perspectiva diferente emerge de cohortes de pacientes investigados para Enfermedad Pulmonar Intersticial (ILD) donde la NH es parte del diagnóstico diferencial (5).
En USA la prevalencia de NH alcanza casi al 2% de los pacientes con ILD , en Europa la NH afecta desde un 4 – 15 % de los casos de ILD. La prevalencia varía ampliamente entre diferentes países y hasta en el mismo país debido a los factores climáticos , geográficos y estacionales (6).
El tabaquismo se asocia con una disminución del riesgo de padecer la enfermedad, sin embargo, una vez que ésta está instaurada no atenúa su severidad y puede predisponer a la cronicidad (7).
En la mayoría de los casos la NH es una enfermedad profesional o está relacionada con el ambiente en el que se desenvuelve el enfermo. Los trabajadores expuestos a las sustancias que provocan neumonitis por hipersensibilidad tras su exposición realizan actividades en las industrias de cinco clases de productos principales como:
1. Proteínas séricas y excrementos: excrementos de aves, proteínas de la orina de ratas, abonos para setas (Termoactinomyces, bacterias y protozoos).
2. Paja y cereales: caña de azúcar, corcho, serrín y heno enmohecidos, esparto, cebada y malta enmohecidos, trigo y otros cereales, polvo de grano de café, techos de paja (todos ellos contaminados por hongos).
3. Maderas: pulpa de madera enmohecida (Alternaria), corteza de arce húmeda.
4. Alimentos y pieles: mohos de queso, harina de pescado, polvo de las pieles de astracán y zorro.
5. Enzimas industriales, sistemas de aire acondicionado e isocianatos: detergentes enzimáticos (Bacillus subtilis), polvo de pimentón (Mucor), aerosoles de agua contaminada (hongos), partículas de acondicionadores y humidificadores (Actinomyces), espuma, adhesivos y pinturas (isocianatos), sulfato de cobre.
FUENTES DE EXPOSICIÓN Y USOS
El número de agentes según la fuente de exposición es muy elevado, siendo en la mayoría de los casos material inhalado contaminado con hongos, bacterias y protozoos. También isocianatos de pinturas , espumas y adhesivos; anhídrido ftálico y anhídrido trimetílico de pinturas y plásticos . Constantemente se están añadiendo nuevos agentes como causa de neumonitis por hipersensibilidad. A continuación se detallan los agentes causales más importantes :

MECANISMO DE ACCIÓN (2)
El polvo orgánico inhalado puede llegar a través de la tráquea y de los bronquios hasta los bronquiolos terminales, alvéolos e intersticio que lo rodea, produciendo patología respiratoria por mecanismo inmunológico tipo III de la clasificación de Gell y Coombs, mediado por inmunocomplejos . Los hallazgos inmunológicos característicos de las alveolitis alérgicas extrínsecas son los anticuerpos precipitantes séricos específicos contra los antígenos presentes en el material inhalado. Se detecta IgG por inmunoelectroforesis o por técnicas de difusión en gel, aunque en el suero del paciente también se pueden detectar IgA e IgM específicas .
No todos los antígenos inhalados tienen capacidad para desencadenar la enfermedad. Aquellos que inducen neumonitis por hipersensibilidad tienen algunas características que los diferencian de los capaces de inducir otras enfermedades como el asma, tales como su tamaño, solubilidad, naturaleza particulada y su capacidad de producir, además de la respuesta inmunológica, una respuesta inflamatoria inespecífica.
Desde el punto de vista aerodinámico deben tener un tamaño entre 1 y 3 mm de diámetro, con el fin de alcanzar el alvéolo, a diferencia de los antígenos causantes de asma, que son mayores (diámetro de unos 30 mm). Además, son antígenos que se comportan como potentes adyuvantes en la respuesta inmunológica, pueden activar la cascada del complemento por la vía alterna, estimular a los macrófagos (ej. glucano de la pared celular de hongos) y la respuesta celular retardada. Por último, suelen ser resistentes a la degradación enzimática (ej. mucina intestinal de la paloma).
Además del antígeno en sí mismo, el grado de exposición también es un factor importante en el desarrollo de la enfermedad. Se ha demostrado cómo una concentración elevada de antígeno aumenta la prevalencia de la enfermedad en el caso del pulmón de cuidador de aves y en el del pulmón de granjero.
La respuesta inmunológica se caracteriza por la proliferación de linfocitos citotóxicos isotipo IgG, debida a la proliferación de células plasmáticas estimuladas por los linfocitos CD4+ Th1 (2). Todo ello ocurre después de que las partículas antigénicas hayan sido procesadas por los macrófagos.
No sólo los individuos enfermos sino también la mayoría de individuos expuestos asintomáticos desarrollan lo que parece una respuesta inocua productora de IgG. La respuesta de anticuerpos no es suficiente para causar la enfermedad y se requiere también una respuesta citotóxica de linfocitos CD8+.
Además, para el desarrollo de la neumonitis parecen necesarios otros cofactores. Los agentes infecciosos o sus productos (ej. endotoxinas bacterianas) pueden actuar como inmunomoduladores.
Por otro lado, la existencia de una respuesta inflamatoria inespecífica parece ser el factor que en muchos casos de individuos sensibilizados pero sanos precipita el desarrollo de la enfermedad. Así, en algunos individuos expuestos durante varios años el inicio de la los síntomas de la enfermedad puede ser precipitado por una infección respiratoria concurrente.
En la inmunopatogénesis de la enfermedad se diferencian 3 fases:
– Aguda, consistente en una respuesta macrófago-linfocitaria.
– Subaguda, con la formación de granulomas.
– Crónica, con el desarrollo de fibrosis pulmonar.
En la fase aguda, se forman inmunocomplejos antígeno-IgG que activan la cascada del complemento, liberándose C5 que a su vez activa a los macrófagos. Los macrófagos activados secretan citoquinas y quimoquinas, que atraen al foco de neutrófilos inicialmente y posteriormente linfocitos y monocitos. Algunas de estas quimoquinas (MIP-1a, IL-12) promueven la diferenciación de linfocitos CD4+ Th0 a Th1. Estos linfocitos Th1 liberan IFN-g, considerado esencial en la formación de granulomas por parte de macrófagos. Por otro lado, la IL-6 promueve la diferenciación de linfocitos B a células plasmáticas y la maduración de las células CD8+ a citotóxicas.
En la fase subaguda, los macrófagos activados sufren la transformación a células epitelioides y posteriormente células gigantes multinucleadas. También proliferan los folículos linfoides con células plasmáticas indicando que al menos parte de la producción de anticuerpos específicos ocurre localmente en el pulmón (8).
MANIFESTACIONES CLÍNICAS
Clásicamente la presentación clínica se ha dividido en 3 formas: aguda, subaguda y crónica con relación a la intensidad y la frecuencia de exposición al agente causal (9,10).
Aunque en la actualidad se han propuesto nuevas clasificaciones, como la más reciente de Selman, que divide a la enfermedad en activa no progresiva e
intermitente, aguda progresiva intermitente y crónica tanto progresiva como no progresiva, dada la gran variabilidad de presentaciones y de curso, ninguna de ellas ha sido del todo satisfactoria.
Forma aguda
Se produce tras inhalaciones masivas del antígeno en un corto período de tiempo.
Los síntomas se producen al cabo de 4 a 8 horas de la inhalación y desaparecen en un período de 12 horas a pocos días si no hay nuevo contacto. Es la forma más fácil de identificar, pero los síntomas pueden confundirse con una infección bacteriana o viral. La sintomatología consiste en sensación de mal estado general, tos seca, disnea de grado variable sin sibilancias, fiebre que puede llegar a ser elevada, escalofríos y dolor torácico en forma de tirantez. Se pueden auscultar crepitantes finos en las bases y objetivar taquipnea.
Los síntomas pueden repetirse si hay reexposición. En general la forma aguda es no progresiva e intermitente, con mejoría espontánea después de evitar exposición, algunos pacientes con episodios agudos recurrentes de pulmón de granjero pueden desarrollar una enfermedad pulmonar obstructiva con enfisema centrolobulillar en vez de fibrosis (9)
Forma subaguda
Generalmente ocurre tras inhalaciones continuas pero no masivas del agente causal.
Los síntomas aparecen de forma insidiosa durante unas semanas y consisten en malestar general, astenia, pérdida de peso, tos seca, pero a veces también productiva, disnea que puede llegar a ser severa con cianosis e incluso requerir hospitalización.
En la exploración física podemos encontrar los mismos hallazgos que en la forma aguda.
Forma crónica CNH
Tanto las formas agudas como las subagudas pueden evolucionar en un porcentaje variable a la forma crónica si el paciente sigue teniendo contacto con el antígeno (10). Se caracteriza por una historia, en ausencia de episodios agudos, de tos, disnea, fatiga y pérdida de peso. En esta fase, la enfermedad es clínicamente indistinguible de la de una fibrosis pulmonar de cualquier otra etiología. La exploración física puede revelar dedos en palillo de tambor, en el caso de enfermedad avanzada, que en ocasiones es un signo predictor del grado de deterioro clínico.
Esta forma de presentación puede evolucionar desfavorablemente llegando a precisar tratamiento con oxigenoterapia domiciliaria, produciendo hipertensión pulmonar y fallecimiento del paciente por fallo respiratorio.
En este estadio la retirada de la exposición al agente causal sólo producirá una discreta mejoría sintomática .
IMAGEN RADIOLÓGICA
Las imágenes radiográficas en las diferentes formas de la NH, se caracterizan por el tipo de opacidad y distribución de la misma.
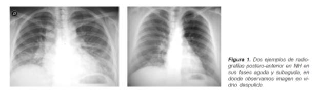
En la forma aguda se observan opacidades en vidrio despulido y un patrón nodular fino (1 a 3 mm) mal definido en forma bilateral y difusa, rara vez se encuentran imágenes reticulares finas y consolidaciones de los lóbulos inferiores focales hasta en un 10 a 25% (Figura 1).
En las etapas subagudas el patrón retículo nodular se vuelve más prominente con acentuación de estructuras broncovasculares y las formas crónicas se caracterizan por fibrosis con retracción de los lóbulos superiores, con opacidades reticulares gruesas, bronquiectasias centrales y pérdida de volumen con imagen en «panal de abeja» que representa el proceso cicatrizal.
Recalcando que las principales opacidades radiográficas que vamos a observar en la NH son reticulares o retículo nodulares que en varias ocasiones van a definir el patrón en panal. La presencia de sombras anulares que pueden llegar a tener un diámetro hasta de 4 cm suelen ocurrir debido a la presencia de bronquiectasias, bullas o quistes, todas estas imágenes las vemos en general en forma central con una distribución hacia los lóbulos superiores del pulmón. Actualmente se cuenta con otras técnicas diagnósticas como la tomografía de alta resolución, que ofrecen una mejor ayuda para el diagnóstico (10). Lo que ha hecho que la sensibilidad de la radiografía de tórax disminuya. Es importante considerar que la radiografía convencional de tórax puede ser normal hasta en el 20% de los casos agudos y subagudos, la razón de este hallazgo se desconoce, aunque se sugiere que los granulomas son tan pequeños o tan escasos y la neumonitis tan sutil como para ser aparentes en la radiografía, en donde habitualmente observamos imágenes. Por ello la tomografía de tórax de alta resolución (TCAR), método más sensible para evaluar el parénquima pulmonar comparativamente con la radiografía convencional de tórax, facilita el diagnóstico aún en casos sutiles de la enfermedad.

Las imágenes en TCAR son muy similares para las descritas en radiografía convencional (Cuadro 2).
Cuadro 2. Hallazgos por tomografía computada de alta resolución en la neumonitis por hipersensibilidad.
Subaguda
· Opacidad en vidrio despulido en forma difusa o en parches a
· Opacidad de nódulos pequeños centrolobulillares a,b
· Sobreposición de los hallazgos anteriores a,b
· Áreas lobulares con disminución en la atenuación pulmonar (perfusión en mosaico) a,b
· Áreas lobulares de atrapamiento aéreo a la espiración a,b
· Hallazgos de fibrosis
Crónico
· Hallazgo de fibrosis (engrosamiento intersticial intralobulillar, interfase irregular, engrosamiento septal interlobulillar irregular, panal de abeja, bronquiectasias por tracción o bronquioloectasias) a
· Sobreposición de opacidad en vidrio despulido o nódulos centrolobulillares a
· Distribución en parche de las anormalidades a,b
· No predominio de alguna zona de fibrosis, con relativo respecto de los ángulos costofrénicos a,b
a Hallazgos más comunes
b Hallazgos que pueden ayudar en el diagnóstico diferencial
En las formas agudas de la NH se presenta un aumento de la densidad parenquimatosa con una atenuación en vidrio despulido en parches o difusa del espacio aéreo (Figura 2).

En la fase subaguda predominan las imágenes redondas, pequeñas, mal definidas de distribución difusa, pero con una preferencia broncocéntrica que usualmente se verán sumadas a los cambios agudos (Figura 3).

En cambio los casos crónicos presentan un patrón nodular sumado a opacidades reticulares finas y gruesas (patrón reticulonodular) de predominio central con engrosamiento del intersticio broncovascular, que en forma paulatina progresan a una imagen de conglomerados fibróticos o áreas quísticas o en «panal de abeja» (Figura 4).

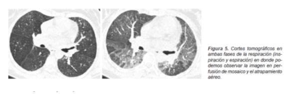
Además de los patrones específicos para el tipo de afección intersticial, contamos con las imágenes que identifican a las alteraciones a nivel de la vía aérea. Son signos indirectos de la obstrucción bronquiolar la presencia en fase inspiratoria de una imagen en «perfusión en mosaico» mientras que en la fase espiratoria se presenta «atrapamiento aéreo» (11) ,que con frecuencia tendrán una distribución lobulillar (Figura 5).

Así mismo se le considera otro tipo de alteración secundaria a la obstrucción bronquiolar parcial por infiltrados linfocíticos peribronquiolares a la presencia de lesiones quísticas en la TCAR que pueden llegar a presentarse hasta en el 13% (Figura 6) de los casos de acuerdo a la forma clínica de la enfermedad.

HISTOPATOLOGÍA
Debido a que el pronóstico difiere en las distintas formas de NH, el hacer un diagnóstico preciso es de suma importancia. En general los cambios observados por
histopatología son similares, independientemente del antígeno causal de la NH, pero dependiendo de la cronicidad de la misma se encuentran algunas diferencias (Cuadro 3) (10).
Cuadro 3. Características histopatológicas en la neumonitis por hipersensibilidad.
Subaguda
• Bronquiolitis celular
• Granulomas no caseosos
• Granulomas mal definidos (pobremente formados)
• Neumonitis intersticial bronquiolocéntrica con predominio linfocítico
• Infiltrado intersticial linfocítico
• Bronquiolitis obliterante con neumonía organizada
Crónica
• Fibrosis intersticial
• Fibrosis peribronquiolar
• Fibrosis intraluminal o neumonía organizada
• Neumonía intersticial celular bronquiolocéntrica
• Granulomas no caseosos
En las formas agudas estos datos son poco precisos, ya que rara vez se realiza una biopsia quirúrgica; en cambio, en las formas subagudas los rasgos patológicos están bien definidos y son ampliamente conocidos. En su forma clásica encontramos un discreto infiltrado inflamatorio intersticial crónico, el cual se encuentra
centrado a la vía aérea e involucra la pared bronquiolar. Hasta en el 70% de los casos se hallan en forma aislada células gigantes intersticiales o granulomas pobremente formados, aunque su ausencia no debe alterar el diagnóstico de la misma. En algunas ocasiones, se llega a observar una distribución mucho más homogénea del infiltrado inflamatorio intersticial; en estos casos puede ser difícil distinguir una NH subaguda de una forma celular de la neumonía intersticial no específica (Non specific interstitial pneumonia), por lo que buscar la presencia de células gigantes o granulomas puede sugerir el diagnóstico correcto; sin embargo, hay que reiterar que estos últimos no siempre están presentes. Las formas crónicas de NH presentan también diferentes patrones morfológicos, por lo que podemos observar fibrosis periférica en parches semejando los cambios observados en la neumonía intersticial usual (NIU), que va asociada a focos de fibroblastos; la fibrosis puede tener una distribución más homogénea semejante a la hallada en las formas fibróticas de la neumonía intersticial no específica, hallándose también fibrosis peribronquiolar, la cual se extiende hacia la periferia. Así observamos que los rasgos histológicos de la NH están dados en general por la presencia de bronquiolitis, alveolitis linfocítica y granulomas mal formados; la neumonitis intersticial granulomatosa se caracteriza por un prominente infiltrado linfocitario a nivel intersticial que con frecuencia es en parches, y que usualmente se inicia cerca del bronquiolo terminal y se extiende hacia el parénquima pulmonar, lo que representa una inflamación pulmonar bronquiolocéntrica (Figuras 7 y 8).
Las formas agudas de NH nos darán una bronquiolitis de tipo proliferativo endobronquial (Figura 9). Mientras que la persistencia del proceso inflamatorio bronquiolar y peribronquiolar en los casos crónicos se asocia con fibrosis de proporciones variables dando así una bronquiolitis de tipo constrictivo (Figura 10).

Las anormalidades bronquiolares ocurren en paralelo a aquéllas halladas en el parénquima pulmonar adyacente y son proporcionales al mismo. No es de sorprender que los cambios de fibrosis a nivel de la vía aérea periférica no afecten la evolución clínica y por ello el pronóstico de la enfermedad una vez que se ha presentado el proceso cicatrizal, por lo que las manifestaciones en el comportamiento clínico van a depender más de los cambios estructurales parenquimatosos y no de la vía aérea involucrada. El lavado bronquioloalveolar (LBA) mostrará un predominio de linfocitos en la cuenta celular ya que hay un aumento en el número absoluto y porcentual, con cifras por arriba del 50%, y en donde éstos son predominantemente linfocitos T con un fuerte predominio de la subpoblación CD8+ (citotóxica/supresora); sin embargo en algunos pacientes los recuentos de linfocitos pueden ser normales o inclusive en valores inferior a lo normal en
algunos pacientes con CNH (12 ). Debemos hacer énfasis en que el valor porcentual de linfocitos en el LBA tiene un factor pronóstico evidente, ya que se puede predecir con valores superiores al 70% que los pacientes tendrán una buena respuesta al tratamiento.
PAPEL DE LA DETECCION DE ANTIGENO EN EL DIAGNOSTICO DE NH
Identificar el antígeno causal es crucial para el diagnóstico, las medidas preventivas y el pronóstico de HP. Relación entre la exposición y la enfermedad puede ser evidente en los casos de NH ocupacional, pero en el caso de NH doméstica a menudo no es clara de manera inmediata, haciendo de la identificación del gatillo subyacente un desafio (13).
• El primer paso En la identificación de antígeno causal es recoger una detallada y meticulosa historia del paciente sobre la exposición en su entorno laboral y doméstico, así como visitar regularmente los lugares. El uso de un cuestionario estandarizado como ayudante es muy útil en la identificación de las exposiciones .
La identificación de los desencadenantes ambientales puede requerir el aporte de especialistas auxiliares tales como los físicos ocupacionales o higienistas industriales / ambientales a fin de recoger muestras fiables desde el entorno del paciente para análisis microscópico / microbiologíco.
• El segundo paso
Se realizará la investigación de laboratorio para la confirmación del antígeno sospechoso por la identificación de las IgG específicas en suero (SsIgG). Aunque la presencia de SsIgG meramente refleja la exposición y la sensibilización al antígeno específico por parte del paciente, no es diagnóstica de HP. El método de laboratorio más frecuentemente utilizado para la identificación de SsIgGs es ELISA, pero inmunodifusión y ImmunoCAP se puede utilizar también .
Los antígenos se pueden obtener como extractos disponibles comercialmente, o se pueden preparar de material recogido en laboratorios especializados . Los valores de corte no son arbitrarios y dependen de la comparación de los valores detectados en individuo sensibilizado y saludable.
Los valores de IgG específicos difieren en la literatura y pueden ayudar a:
1) Encontrar y / o asociar una relación entre la exposición y la enfermedad.
2) Pantalla de inductores potenciales en los que un inductor no ha sido identificado pero donde los datos clínicos y de imagen son compatibles con HP.
3) Disminución probabilidad de pluma o un hongo etiología de ILD si es negativo.
La presencia de un mayor SsIgG reveló durante la investigación causas extrínsecas de ILD.
Impulsando a una mayor evaluación e intervenciones diagnósticas que podrían dar lugar a asegurar el diagnóstico de HP . Los paneles de SsIgGs utilizados en diferentes centros son determinado por la ubicación práctica.
· El tercer paso
Para confirmar la causalidad entre un antígeno y la sospecha de la enfermedad es necesario la prueba de provocación por inhalación específica (SIC) que se puede realizar por exposición Natural al medio ambiente en el que el antígeno se cree que esta presente o por inhalación directa de la presunta HP-inductor obtenido a partir del medio ambiente en que se desempeña el paciente o por los extractos disponibles en el mercado (13).
Sin embargo, esta prueba no está estandarizada ni validada y requiere personal con experiencia y laboratorios.
Proponemos el uso de la SIC sobre todo en pacientes en los que diagnóstico histopatológico no está disponible o donde una biopsia se ha realizado, pero no
es diagnóstica. También se puede realizar para confirmar el agente etiológico sospechoso .
En ocasiones se requiere realizar la provocación bronquial mediante la nebulización e inhalación del extracto antigénico en el laboratorio de función pulmonar previo registro de la situación basal. Se realizan controles posteriores de pruebas de función respiratoria (capacidad vital forzada o CVF) inicialmente cada 15 minutos hasta la primera hora y luego cada hora junto con control de temperatura y hemograma. La respuesta suele aparecer a las 4-6 horas (2).
FUNCIONAL RESPIRATORIO
En la prueba funcional respiratoria PFR, los hallazgos no son específicos y, aunque pueden ser normales, lo más habitual es encontrar un déficit restrictivo demostrado mediante espirometría y pletismografía, con un descenso de la difusión del monóxido de carbono pero no nos permite diferenciar la HP de otras enfermedades intersticiales . Puede existir desaturación de O2 en reposo o tras el ejercicio. En casi las dos terceras partes de los pacientes puede haber hiperreactividad bronquial. Los resultados de los test de función pulmonar pueden también ayudar a seleccionar el tratamiento adecuado en los casos que el uso de los corticoides esté indicado .
En la HP aguda se podrá encontrar un patrón restrictivo con un descenso de la difusión de DLCO , en la forma crónica el patrón puede ser restritivo pero puede manifestarse como patrón obstructivo en algunos pacientes de pulmón del granjero resultado de su enfisema (14).
CRITERIOS DIAGNÓSTICOS
Después de los propuestos en 1980 por la Academia Americana de Alergia, Asma e Inmunología en 1997 Schuyler y Cormier propusieron 6 criterios mayores y 3 menores de los que se precisan 4 y 2 respectivamente para la confirmación de la enfermedad.

Lacasse y colaboradores proponen más recientemente ,tras encontrar un valor predictivo positivo satisfactorio VPP una serie de criterios clínicos y de laboratorio . Si están presentes seis de los criterios el VPP es del 98% (15).
Criterios clínicos predictivos Lacasse y col .
· Exposición a agente casual conocido.
· Episodios recurrentes de síntomas.
· Desarrollo de síntomas 4-8 horas después de la exposición.
· Pérdida de peso.
· Crepitantes.
· Precipitinas en el suero


Enfoque algorítmico para el diagnóstico de neumonitis por hipersensibilidad subaguda / crónica (HP). El algoritmo toma en consideración dos hallazgos iniciales
importantes para la sospecha de HP subagudo o crónico, características clínicas y funcionales de una enfermedad pulmonar intersticial (EPI) y el antecedente de
exposición basado en la historia y la presencia de anticuerpos específicos.
Tanto la exposición como los anticuerpos específicos circulantes son necesarios principalmente en regiones / áreas con alta prevalencia de exposición al antígeno, por ejemplo en países donde mantener a las aves en casa es un pasatiempo común. El análisis celular de lavado broncoalveolar (BAL) no se requiere en todos los casos; sin embargo, la presencia de una tomografía computarizada de alta resolución (TACAR) "típica" y linfocitosis BAL hace que el diagnóstico de HP sea seguro. Las características típicas de TACAR incluyen opacidades de vidrio esmerilado, nódulos pequeños mal definidos, perfusión de mosaico y áreas irregulares de aire atrapado en exploraciones espiratorias (consulte la Figura 2). Cualquier otra combinación hace que el diagnóstico específico sea más difícil y, a falta de otras pistas diagnósticas, se recomienda una biopsia pulmonar. Aunque la biopsia transbronquial a menudo se realiza con LBA, es poco común que las biopsias arrojen características de diagnóstico de HP; en consecuencia, en la gran mayoría de los casos, se requiere una biopsia pulmonar quirúrgica.
Moises Selman AJRCCM vol 186 2012
Los pacientes con NHC fibrótica pueden presentar enfisema y algunos de ellos también pueden desarrollar cáncer de pulmón primario escamoso , en general el cáncer de pulmón fue observado en pacientes con patrón UIP y localizado próximo a las manifestaciones de panalización .(3) Un reciente estudio reportó una curiosa coexistencia entre HP y proteinosis alveolar pulmonar .
DIAGNÓSTICO DIFERENCIAL
La neumonitis por hipersensibilidad es una entidad nosológica que comparte rasgos con una variedad de desórdenes por lo que cualquiera de sus formas de presentación puede simular otras patologías (2) .
En la práctica clínica, el diagnóstico diferencial,que requiere una cierta urgencia, sería con la tuberculosis miliar, la tinción para el bacilo tuberculoso en el esputo negativa, la prueba de Mantoux negativa así como la prueba cutánea para el antígeno positiva ayudarían a excluir una tuberculosis.
En su forma de presentación crónica, el diagnóstico diferencial suele ser de gran dificultad, puesto que hay que distinguirlo de enfermedades intersticiales pulmonares como la fibrosis pulmonar idiopática, la sarcoidosis y las enfermedades intersticiales pulmonares asociadas a conectivopatías o fármacos.
Tanto una historia previa negativa de toma de fármacos de forma prolongada como la no evidencia de síntomas sistémicos ayudarían a descartar las inducidas por fármacos o asociadas a conectivopatías.
La obtención en el lavado broncoalveolar de un predominio de neutrófilos sugeriría la posibilidad de una fibrosis pulmonar idiopática, y un predominio de CD4+ nos inclinaría a pensar en sarcoidosis, además de la existencia de adenopatías hiliares y afectación sistémica. Las formas agudas o subagudas pueden simular otros desórdenes como la micosis broncopulmonar alégica y otras neumonías eosinófilicas. La neumonía eosinofílica se asocia frecuentemente al asma y además cursa con eosinofília periférica. La aspergillosis broncopulmonar es la más frecuente de las micosis broncopulmonares y a veces se confunde con la neumonitis por hipersensibilidad por la presencia de anticuerpos precipitantes contra el Aspergillus fumigatus, pero ésta se asocia con el asma alérgico. Existe una variedad de síndromes que ocurren como resultado de la inhalación de agentes orgánicos, pero que no constituyen verdaderas formas de neumonitis por hipersensibilidad.
Síndrome tóxico del polvo orgánico o micotoxicosis pulmonar
La NH debe diferenciarse del síndrome tóxico orgánico o micotoxicosis producido por micotoxinas, que penetran en el organismo por aerosoles contaminados por toxinas de hongos, se asocia con la exposición a grano, heno y materiales textiles contaminados con Fusarium.
Clínicamente se manifiesta con fiebre, escalofríos, disnea y mialgias tras 4-6 horas después de la exposición. No se considera una verdadera neumonitis por
hipersensibilidad ya que no existe una previa sensibilización y no hay respuesta inflamatoria serológica a antígenos fúngicos comunes.
ALGUNAS ENFERMEDADES QUE PUEDEN CONFUNDIRSE CON LA FPI
Neumonitis por hipersensibilidad Las formas crónicas de NH, habitualmente causadas por exposiciones prolongadas a niveles bajos del antígeno causal, pueden semejarse a la FPI tanto clínica como radiológicamente (16). Debería hacerse una búsqueda exhaustiva de posibles exposiciones, tanto ambientales como laborales, sobre todo a hongos y a agentes bacterianos. Se debe investigar el contacto con mascotas (sobre todo aves), plumas, humidificadores, vaporizadores, equipos de aire acondicionado, moquetas o piscinas interiores. En la última guía ATS/ERS/JRS/ALAT no se recomienda la realización sistemática del lavado broncoalveolar (BAL) en el estudio de la FPI. El BAL puede mostrar una celularidad en la que haya un porcentaje de linfocitos mayor del 40%, principalmente de linfocitos CD8, lo que sugiere fuertemente el diagnóstico. Sin embargo, si las exposiciones se han producido mucho tiempo atrás, la celularidad del BAL puede ser muy parecida a la de la FPI.
Algo similar ocurre con la determinación de IgG específicas en suero, cuyos niveles pueden ir disminuyendo a lo largo del tiempo si la exposición no es permanente; valores elevados pueden indicar exposición y no necesariamente que sean la causa de la fibrosis pulmonar (17 ). En los casos en los que haya
dudas puede hacerse una biopsia pulmonar, pero debemos tener en consideración que las formas crónicas de NH pueden presentar un patrón de NIU en la biopsia. Los hallazgos radiológicos de la NH crónica muestran fibrosis y panalización, que en un 80% de los casos ocurre simultáneamente en lóbulos superiores e
inferiores. Cuando la panalización ocurre preferentemente en lóbulos superiores sugiere fuertemente el diagnóstico de NH (18).
Otro hallazgo radiológico de importancia es la aparición de atrapamiento aéreo, que puede ponerse de manifiesto en la TCAR realizada en espiración y que traduce la afectación de la vía aérea distal por bronquiolitis, mostrando un patrón “en mosaico”. Desde el punto de vista histológico podemos encontrar datos que sugieran la NH. Dado que la enfermedad se produce por la inhalación del antígeno causal, el lugar del daño suele estar centrado en la vía aérea. Suele haber un patrón predominante de fibrosis centrolobulillar con afectación peribronquiolar, a diferencia de la afectación subpleural y periseptal de la FPI (19). De manera similar, los focos fibroblásticos en la NH crónica aparecen en los márgenes de las zonas de fibrosis en las áreas peribronquiolares. La presencia de granulomas pobremente formados es un hallazgo característico, pero su presencia va disminuyendo a medida que progresa la fibrosis.
Enfermedades que pueden presentar un patrón NIU
· Fibrosis pulmonar idiopática· Enfermedades del colágeno
· Enfermedad intersticial por fármacos
· Neumonitis por hipersensibilidad
· Asbestosis
· Síndrome de Hermansky-Pudlak
Características radiológicas e histológicas de otras fibrosis pulmonares NO FPI

Rodríguez Portal JA. Monogr Arch Bronconeumol. 2015;2(1):1–6
La fibrosis pulmonar idiopática (FPI), con su patrón de la TCAR e histológico de neumonía intersticial usual (NIU), y las neumonitis por hipersensibilidad crónicas (NHC), son dos entidades que en muchos casos están asociadas. En efecto, muchas NIU constituyen en realidad una forma clínica de NHC. De modo similar algunos tipos de FPI están relacionadas con el hábito tabáquico. Todo este conocimiento reciente ha condicionado que el clínico deba intensificar y sistematizar el estudio de las FPI, con el fin de poder llegar a relacionar a la entidad con alguna causa conocida como productora de NIU (16).
La certeza del diagnóstico de FPI aumenta con la correlación clínica, radiológica e histopatológica y además con la participación del médico laboral .
TRATAMIENTO
Hasta la fecha no hay resultados reportados/ publicados de los ensayos clínicos controlados aleatorios sobre el tratamiento farmacológico para CNH (20).
1. Evitar la exposición.
La primera intervención de tratamiento es la evitación rápida y completa de la exposición adicional al inductor, por lo general mediante la erradicación desde el entorno del paciente preferiblemente con la ayuda de higienistas industriales ambientales. Los pacientes deben ser alertados sobre la importancia de una
ambiente de aire limpio y la necesidad absoluta de evitar más exposiciones a NH-inductores conocidos incluyendo antígenos ocultos en edredones de plumas, almohadas, sistemas de ventilación, hornos, filtros de aire , enfriadores de aire por evaporación, humidificadores, las exposiciones a los excrementos de aves en sus entornos inmediatos al aire libre (ej. patios y porches), marcos de ventanas, patios, etc.
2. El tratamiento farmacológico.
Los corticosteroides.
Actualmente, los corticosteroides sistémicos son el pilar del tratamiento farmacológico. Mientras que el objetivo general es apuntar a la dosis más baja posible y la menor duración, la dosis y la duración del tratamiento no se han determinado . Se estima una dosis a partir de 0,5 mg / kg (peso corporal ideal) durante unos pocos días y reducción lenta a la más baja posibles durante varios meses a un año o más . Se está a la espera de los ensayos clínicos, de una recomendación basada en el consenso de opiniones entre los expertos en cuanto a la dosis y duración.
Agentes moduladores inmunes.
En los pacientes con CNH , especialmente aquellos con un curso progresivo, debe considerarse un tratamiento inmunosupresor adyuvante.
Sin embargo, hay que ser conscientes de su uso para hacer recomendaciones específicas de tratamiento debido a la falta de ensayos clínicos aleatorios .
Resultados sugieren que cuando el tratamiento inmunosupresor es necesario , la transición temprana a micofenolato mofetil o azatioprina debe ser considerado en CNH fibrótica (21)
En un estudio retrospectivo por Morriset et al, el tratamiento con azatioprina y micofenolato mofetil se asoció con una mejora del intercambio de gases y la reducción de prednisona que apoya el uso de estos fármacos en el tratamiento de la crónica.
Se desconoce si prednisona más azatioprina es perjudicial para los pacientes con CNH. Expresamos la precaución con el uso de este tratamiento de combinación para los pacientes con fibrosis CHP que muestra un patrón UIP-similares.
Pruebas de muy baja calidad (informes de casos, series de casos pequeñas) sugiere el uso de rituximab y leflunomida en HP , el uso de estos agentes podán
ser usados con pacientes que no han tolerado y / o no han respondido a la utilización de azatioprina o micofenolato .
Tratamiento antifibrótico.
Para los pacientes con fibrosis progresiva CHP, especialmente con un patrón similar UIP, puede ser considerados agentes anti-fibróticos indicados para la FPI. Los ensayos controlados aleatorios, ya sea con nintedanib o pirfenidona son apropiados y esperamos que éstos se llevarán a cabo pronto para estos pacientes (23).
3. El trasplante de pulmón.
Los pacientes con enfermedad progresiva, deben ser evaluados temprano para el trasplante de pulmón, ya que tienen una excelente supervivencia después del trasplante a medio plazo y, en relación con IPF un riesgo reducido de muerte .
Kern et al. realizó un análisis retrospectivo de todos los pacientes sometidos a trasplante observándose una supervivencia del 67% a 5 años ( 49% en FPI ).
Es muy importante vigilar la exposición continua al antígeno en pacientes trasplantados ya que se observó la recurrencia de NH en aloinjertos de 2 pacientes (24).
PRONOSTICONH es un síndrome complejo que necesita urgentemente criterios de diagnóstico y validación más rigurosos y selectivos, incluidos paneles más amplios de IgG, y una colaboración más estrecha con médicos ocupacionales, como parte de una experiencia multidisciplinario. La enfermedad no solo tiene manifestaciones clínicas , sino también una superposición sustancial con otras EPD , y su patogénesis no se comprende completamente. Se necesitan investigaciones adicionales para desarrollar marcadores de pronóstico que puedan impulsar la toma de decisiones clínicas, incluso para establecer registros mundiales y redes multicéntricas, incluyendo depósitos de tejidos e imágenes, para aumentar nuestro conocimiento sobre la evolución de las diferentes formas de enfermedad (1). Los corticosteroides pueden mejorar los síntomas a corto plazo, pero se necesitan estudios adicionales para evaluar sus efectos a largo plazo y de otros medicamentos inmunosupresores en pacientes con NH. Finalmente, no hay evidencia sobre la eficacia de agentes antifibróticos como nintedanib y pirfenidona en el tratamiento de la NH crónica , por lo que es necesario realizar más investigaciones.
CONCLUSIÓN
La neumonitis por hipersensibilidad tiene varios fenotipos clínicos y sigue siendo una lucha para neumólogos generales y para los expertos diferenciarla de las Enfermedades Pulmonares Insterticiales dado las incertidumbres relacionadas con esta enfermedad (20). Se ha propuesto establecer un diagnóstico en base a criterios clínicos , funcionales, histopatológicos y por imágenes .
Cada esfuerzo debe ser comprometido a identificar los NH-inductores en el desarrollo de esta enfermedad para poder erradicar la fuente evitando una mayor exposición para minimizar el riesgo de progresión. Los ensayos clínicos existentes nos permitirán conocer el accionar de estos nuevos agentes antifibróticos para determinar un tratamiento eficaz para la pacientes con CHP. Es necesario desarrollar estudios clínicos para mejorar el conocimiento de HP dando lugar a la comprensión exacta de su diagnóstico .
BIBLIOGRAFIA
1 ) Gian Galeazzo et al. Hypersensitivity pneumonitis: a complex lung desease Clinical and molecular allergy 2017 ,15:6
2 ) P. Cebollero et al. An. Sist. Sanit. Navar. 2005; 28 (Supl. 1): 91-99.
3) Selman M. et al. Hypersensitivity pneumonitis: insights in diagnosis and pathobiology Am J Respir Crit Care Med 2012 Vol 186, (4), 314–324,
4 ) A.Villar , Ferran Morell et al, Neumonitis por hipersensibilidad a Mucor Arch .Bronconeumol.2009 ; 45 (8) : 405-408
5 ) Solaymani-Dodaran et al. Extrinsic allergic alveolitis :incidence and mortality in general population .QJM: An internacional Journal of Medicine 2007; 100(4) : 233-237
6) Thomeer MJ. et al. Comparison of registries of interstitial lung diseases in three European Countries .Eur Respir J Suppl.2001; 32: 114s- 8s
7) Ohtsuka Y , Munakata M, et al. Smoking promotes insidious and chronic farmer´s lung disease, an deterirates the clinical outcome. Intern Med 1995; 34: 966-971.
8 ) Patel AM, et al .Hypersensitivity pneumonitis: current concepts and future questions. J Allergy Clin Immunol 2001; 108:
9) Malinen AP, Erkinjuntti-Pekkanen RA, et al . Long-term sequelae of Farmer’s lung disease in HRCT: a 14-year follow-up study of 88 patients and 83 matched control farmers. Eur Radiol 2003;13:2212–2221.
10) Mayra E Mejía et. al. Neumonitis por hipersensibilidad. Neumonología y Cirugía de Tórax 2007, Vol. 66, No. 3, 2007
11) Silva CI, Churg A, Müller N. Hypersensitivity pneumonitis: spectrum of high resolution CT and pathologic findings. AJR 2007; 188: 334-344.
12) Caillaud DM et al. French Group of Environmental Inmunoallergic Bronchopulmonary Diseases- Bronchoalveolar lavage in hypersensitivity pneumonitis: a series of 139 patients. Inflamm Allergy Drug Targets 2012; 11 (1) : 15-9
13) Morell F. et al . Chronic Hypersensitivity pneumonitis in patient diagnosed with Idiopathic Pulmonary Fibrosis : a prospective case – cohort study . Lancet Respir Med. 2013; 1 (9) : 685-694
14) Lacasse Y, Cormier Y. Hypersensitivity pneumonitis. Orphanet J Rare Dis. 2006 Jul 3;1:25.
15) Lacasse Y, Selman M ,et al .Clinical diagnosis of hypersensitivity pneumonitis. Am J Respir Crit Care Med 2003; 168: 852-858.
16) Rodríguez Portal JA. Monogr Arch Bronconeumol. 2015;2(1):1–63 2
17) Costabel U, Bonella F, Guzman J. Chronic Hypersensitivity Pneumonitis. Clin Chest Med. 2012;33:151–63.
18) Tateishi T, Ohtani Y, Takemura T, Akashi T, Miyazaki Y, Inase N, et al. Serial high resolution computed tomography findings of acute and chronic hypersensitivity pneumonitis induced by avian antigen. J Comput Assist Tomogr. 2011;35:272–9.
19) Myers JL. Hypersensitivity pneumonia: the role of lung biopsy in diagnosis and management. Mod Pathol. 2012;25 Supl 1:S58–67.
20) M Vasakova et al. Hypersensitivity Pneumonitis: Perspectives in Diagnosis and Management Am J Respir Crit Care Med 196 (6), 680-689. 2017 .
21) Adegunsoye A et al . Outcomes of Inmmuno suppressive Therapy in Chronic Hypersensitivity Neumonitis ERJ Open Res.2017;3(3):00016-2017
22) Julie Morrisset, et al. Use of Mycophenolate Mofetil or Azathioprine for the Management of Chronic Hypersensitivity Pneumonitis. Chest .2017; Volumme 151, Issue 3,pages 619-625
23) Salisbury et al. Diagnosis and Treatment of Fibrotic Hypersensitivity Pneumonia .Where we stand and where we need to go .AJRCCM articles in press . Published on 21- december – 2016.
24) Kern RM et al. Lung Tranasplatation for Hypersensitivity Neumonitis .Chest 2015; 147: 1558-1565