Presentación del Caso
Se trata de un varón de 58 años en la primera consulta, ex fumador de 30 p/y, de ocupación arquitecto, con antecedentes de hipertensión arterial sistémica, obesidad y diabetes de tipo 2 que consultó por disnea mMRC 1 y tos seca intermitente de 6 meses de evolución. Al examen físico se identificaban casi imperceptibles estertores crepitantes de tipo velcro en ambas bases pulmonares en bases sin clubbing. Al interrogatorio dirigido refería además ronquidos e hipersomnolencia diurna.
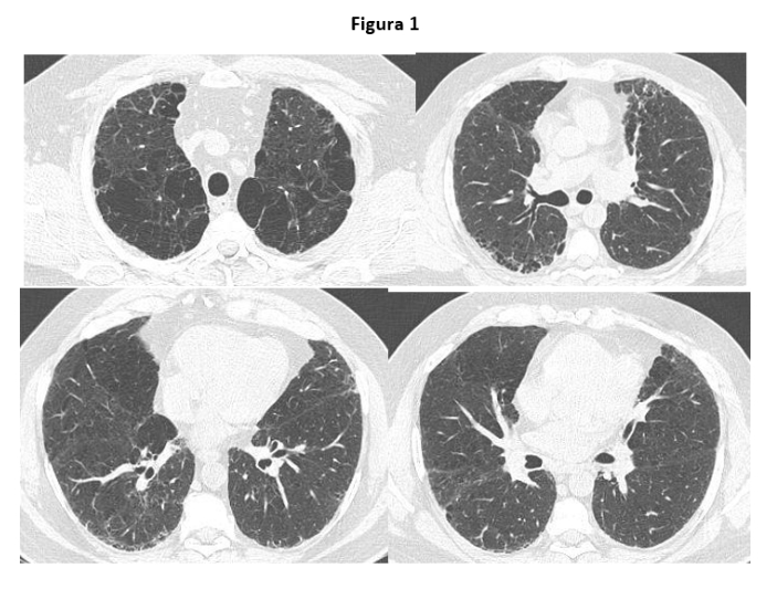
En la tomografía computada de alta resolución (TCAR) se observó la presencia de enfisema centrolobulillar y paraseptal bilateral en lóbulos superiores con reticulaciones en las bases sin signos evidentes de panal de abejas (ver Figura 1).
Las pruebas de función pulmonar pusieron de manifiesto la presencia de una espirometría dentro de parámetros de referencia con restricción leve y descenso de la capacidad de difusión del monóxido de carbono (DLCO). Era de remarcar que en la prueba de la marcha de los 6 minutos (PM6M) se observó una caída profunda de la saturación de oxígeno evidenciando el compromiso del intercambio gaseoso (ver tabla 1).
Se solicitó ecodoppler cardiaco para descartar la presencia de hipertensión pulmonar que se informó como dentro de valores de referencia con aumento de la relajación ventricular izquierda. La polisomnografía demostró la presencia de apneas obstructivas del sueño, iniciando tratamiento con CPAP.
Ante un paciente con sospecha de fibrosis pulmonar idiopática pero con un patrón tomográfico “indeterminado para neumonía intersticial usual” y sin exposiciones evidentes, signos o síntomas de enfermedades autoinmunes sistémicas se decide la realización de una biopsia pulmonar por videotoracoscopia.
La biopsia informó la presencia de un proceso fibroso de distribución parcheada conformando gruesas bandas subpleurales y septales con proliferación de músculo liso que circunscriben áreas de parénquima pulmonar conservado traccionado por la fibrosis. En la interfaz se observan focos de fibroblastos. No se observan signos de inflamación. Patrón compatible con neumonía intersticial usual (NIU).
Ante una patente de NIU y descartando otras causas posibles de enfermedad intersticial, se estableció el diagnóstico de fibrosis pulmonar idiopática (FPI) y se inició tratamiento con nintedanib 150 mg cada 12 hs con buena tolerancia y adherencia.
El paciente además inició rehabilitación respiratoria trisemanal, se indicaron las vacunas para influenza y neumococo y fue referido a centro de trasplante pulmonar. Se le realizó cateterismo cardiaco derecho que no evidenció hipertensión pulmonar.
Luego de cinco años de evolución, el paciente progresó su disnea, actualmente se encuentra en mMRC 3, con requerimientos de oxigenoterapia para la rehabilitación y los esfuerzos (no en reposo), se encuentra activo en lista de trasplante pulmonar con progresión de los parámetros en las pruebas de función pulmonar (ver Tabla 2).
Discusión
El enfisema es relativamente frecuente en pacientes con enfermedad pulmonar intersticial difusa (EPID), más aún en aquellos con FPI. Esta condición se denomina “combinación de fibrosis pulmonar y enfisema”1-2-3. Recientemente se ha publicado una declaración oficial de las sociedades americana, europea, japonesa y latinoamericana de tórax con objeto de describir definiciones de la combinación de fibrosis y enfisema, así como de acuñar terminologías de consenso.
Se han publicado 23 estudios en donde se reporte la prevalencia de enfermedad pulmonar obstructiva crónica (EPOC), incluyendo enfisema, en pacientes con FPI y la prevalencia reportada de EPOC varía entre 6 y 67%, según el método utilizado para definir la EPOC.
En lo que refiere a las pruebas de función pulmonar, todo paciente con EPID debe ser valorado en búsqueda de restricción y compromiso del intercambio gaseoso.
La espirometría, específicamente la capacidad vital (CV), aporta información en referencia a los volúmenes pulmonares. Es decir, una CV baja se asocia con un defecto ventilatorio no obstructivo, confirmándose o no la restricción pulmonar mediante un descenso de la capacidad pulmonar total (CPT) a través de la medición de los volúmenes pulmonares, ya sea por pletismografía o por “wash out” de nitrógeno.
La espirometría permite además valorar los flujos pulmonares mediante el volumen espiratorio forzado en el primer segundo (VEF1) y su relación con la CVF o índice de Gansler.
Se define flujo a la relación del volumen sobre el tiempo. O sea, que en un paciente con obstrucción típicamente vamos a encontrar un índice de Gansler disminuido con un VEF1 también disminuido y en un paciente con restricción lo que disminuye es la CVF.
Para valorar el intercambio gaseoso contamos con la DLCO y la PM6M que permite objetivar la presencia de hipoxemia durante el ejercicio.
Si bien la CVF es una medición reproducible y confiable, con un fuerte valor pronóstico, la misma no debe ser utilizada como único indicador de gravedad en los pacientes con EPID y menos aún en aquellos con enfisema combinado.
Concepto de “pseudonormailzación” o “normalización artificial” de la espirometría
La coexistencia de enfisema y fibrosis pulmonar determina un perfil funcional característico que contrasta con el grado de disnea que manifiestan estos pacientes. La CVF, el FEV1 y la CPT suelen encontrarse normales o casi normales, a diferencia de la DLCO que se encuentra gravemente disminuida. La hipoxemia es un hallazgo frecuente, generalmente de grado moderado durante el reposo y empeora durante el ejercicio. Este patrón característico de “normalización artificial” o “pseudonormalización” de la espirometría se debe a que la pérdida de volumen debida a la fibrosis probablemente esté compensada por la presencia de hiperinsuflación con aumento de la compliance pulmonar debida a la pérdida de elasticidad en las áreas con enfisema.
En comparación con los pacientes con FPI aislada, aquellos con la combinación de fibrosis y enfisema presentan mayores volúmenes pulmonares (CVF y CPT), igual VEF1, mayor volumen residual, menor DLCO, menor kCO y menor presión parcial de oxígeno en sangre arterial . El índice de Gansler por lo general es normal o levemente disminuido y puede ir incrementando a medida que progresa la fibrosis, pero típicamente es menor que en la FPI aislada. En comparación con los pacientes con EPOC puros, aquellos con combinación de fibrosis y enfisema presentan valores relativamente preservados de VEF1 y de relación VEF1/CVF, menor hiperinsuflación y menor valor de DLCO. Más aún, los pacientes fumadores con enfisema que presentan lesiones intersticiales en la tomografía, en general cumplen con menor frecuencia los requisitos funcionales para establecer el diagnóstico de EPOC mediante la espirometría que aquellos sin enfermedad intersticial.
Por tales motivos, la relativa preservación de los parámetros de la espirometría puede conducir al subdiagnóstico de una enfermedad pulmonar crónica si se realiza solamente la espirometría. Por el contrario, la superposición de ambas patologías podría tener efectos sinérgicos deletéreos sobre el intercambio gaseoso que resultan en un descenso intenso de la DLCO.
En condiciones normales, el tejido elástico del pulmón tracciona radialmente las vías aéreas intraparenquimatosas, manteniendo abiertas a aquellas que carecen de soporte cartilaginoso. En el enfisema hay una disminución de la tracción radial debido a la destrucción de los tabiques alveolares. Esto trae como consecuencia una disminución del calibre de estas vías aéreas. La preservación relativa de los flujos y volúmenes pulmonares se atribuye a los efectos opuestos de la fisiología restrictiva de la fibrosis pulmonar y del enfisema. Debido a la fibrosis, se incrementan las fuerzas de tracción que aumentan el retroceso elástico, previniendo el colapso espiratorio de la vía aérea secundario al enfisema. En un paciente con la combinación de fibrosis y enfisema, el índice de Gansler puede mejorar hasta valores normales, pese a la progresión de la enfermedad intersticial con deterioro de la disnea y DLCO. La CPT correlaciona de manera positiva con la extensión del enfisema en la TC y de manera negativa con la extensión de la fibrosis. Controversialmente, la relación VEF1/CVF correlaciona negativamente con la extensión del enfisema y de manera positiva con la extensión de la fibrosis
Esta particular alteración funcional lleva al menos a dos importantes repercusiones clínicas:
- La presencia de volúmenes normales no excluye el diagnóstico de fibrosis pulmonar en este tipo de pacientes;
- Ni la CVF ni la CPT pueden ser utilizadas como parámetros de seguimiento ya que no reflejan el grado de compromiso funcional;
- En este caso, la DLCO sería la variable que mejor se correlaciona con el grado de destrucción del parénquima;
- No obstante, una baja DLCO también puede ser indicativa de alteraciones en el lecho vascular (altamente prevalente en esta entidad);
- Tanto el enfisema como la fibrosis reducen el intercambio gaseoso (por descenso en el volumen sanguíneo capilar o por engrosamiento de la membrana alveolar), resultando en valores de DLCO aún más bajos;
- Los pacientes con CPFE presentan frecuentemente desaturación profunda e hipoxemia durante el ejercicio, especialmente cuando evolucionan con HP.
Por lo tanto, la limitación al ejercicio con desaturación, una reducción importante de la DLCO o kCO aislada o con un defecto ventilatorio leve debe hacer sospechar de combinación de fibrosis con enfisema e hipertensión pulmonar.
En lo que se refiere a seguimiento, los pacientes con CPFE experimentan una declinación más lenta de la CV que aquellos con FPI aislada, mientras que la reducción de la DLCO y el incremento en el CPI o índice fisiológico compuesto permiten una mejor objetivación de la progresión.
De todos modos, no se ha validado ningún parámetro óptimo para objetivar la progresión de la enfermedad, por lo tanto hasta la fecha, la progresión debe ser monitoreada utilizando múltiples parámetros clínicos, radiológicos y funcionales poniendo menor énfasis en el descenso de CVF del que se pone en el paciente con enfermedad intersticial sin enfisema. Una herramienta es el índice fisiológico compuesto (CPI)4 que se calcula a través de la siguiente fórmula:
CPI=91.0 -(0.65×DLCO) -(0.53×FVC)+(0.34 FEV1)
Conclusiones:
El enfisema es relativamente frecuente en pacientes con enfermedad pulmonar intersticial difusa (EPID), más aún en aquellos con FPI. Esta condición se denomina “combinación de fibrosis pulmonar y enfisema. En estos pacientes se observa por lo general un perfil funcional característico que contrasta con el grado de disnea. La CVF, el FEV1 y la CPT suelen encontrarse normales o casi normales, a diferencia de la DLCO que se encuentra gravemente disminuida.



Bibliografía
1. Cottin V, Selman M, Inoue Y, Wong AW, Corte TJ, Flaherty KR, Han MK, Jacob J, Johannson KA, Kitaichi M, Lee JS, Agusti A, Antoniou KM, Bianchi P, Caro F, Florenzano M, Galvin L, Iwasawa T, Martinez FJ, Morgan RL, Myers JL, Nicholson AG, Occhipinti M, Poletti V, Salisbury ML, Sin DD, Sverzellati N, Tonia T, Valenzuela C, Ryerson CJ, Wells AU. Syndrome of Combined Pulmonary Fibrosis and Emphysema: An Official ATS/ERS/JRS/ALAT Research Statement. Am J Respir Crit Care Med. 2022 Aug 15;206(4):e7-e41. doi: 10.1164/rccm.202206-1041ST. PMID: 35969190.
2. Cottin V, Nunes H, Brillet PY, Delaval P, Devouassoux G, Tillie-Leblond I, Israel-Biet D, Court-Fortune I, Valeyre D, Cordier JF; Groupe d'Etude et de Recherche sur les Maladies Orphelines Pulmonaires (GERM O P). Combined pulmonary fibrosis and emphysema: a distinct underrecognised entity. Eur Respir J. 2005 Oct;26(4):586-93. doi: 10.1183/09031936.05.00021005. PMID: 16204587.
3. Cottin V, Cordier JF. The syndrome of combined pulmonary fibrosis and emphysema. Chest. 2009 Jul;136(1):1-2. doi: 10.1378/chest.09-0538. PMID: 19584202.
4. Wells AU, Desai SR, Rubens MB, Goh NS, Cramer D, Nicholson AG, Colby TV, du Bois RM, Hansell DM. Idiopathic pulmonary fibrosis: a composite physiologic index derived from disease extent observed by computed tomography. Am J Respir Crit Care Med. 2003 Apr 1;167(7):962-9. doi: 10.1164/rccm.2111053. PMID: 12663338.